Freiheit in der Praxis - Perfekt abgestimmt
Mit ivoris® erledigt sich Verwaltung fast von selbst. Sie gewinnen Zeit für Ihre Patienten – flexibel, sicher und so individuell wie Ihr Praxisalltag.

Für Zahnärzt:innen
ivoris® dent – Software, die mitwächst
So wird Ihr Praxisalltag leichter und Sie haben den Kopf frei fürs Wesentliche: Ihre Patienten.
Für Kieferorthopäd:innen
ivoris® ortho – Überblick von Anfang an
Planen, steuern, dokumentieren: alles in einem System, praxisnah und flexibel.
Für Kliniken
ivoris® clinic – passt in jede Struktur
Reibungslose Abläufe, sichere Versorgung: die flexible Software für moderne Kliniken.
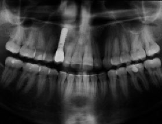
Mehr Klarheit in der Diagnostik mit ivoris® analyze
Ob Röntgen-, Foto- oder 3D-Aufnahmen – die Auswertung erfolgt direkt aus der Patientenakte. Vielfältige Darstellungsmodi erleichtern die Befundung und machen Ihre Ergebnisse auch für Patienten anschaulich. Über 100 Analysevorlagen geben Ihnen die Sicherheit, immer die passende Grundlage für Ihre Behandlungsplanung zu nutzen.

ivoris® überzeugt.
Was sagen unsere Kunden über ivoris®? Ehrliches Feedback aus der Praxis – direkt, ungeschönt und aus erster Hand.

„Ich arbeite seit ca. 13 Jahren mit ivoris® analyze gekoppelt an meine Praxisverwaltungssoftware power.dent und eine individuelle Kieferorthopädieverwaltungssoftware. Für mich zählen Basisfunktionen und Anpassungsfähigkeit an meine Arbeitsumgebung. ‚Länderspezifische‘ oder ‚universitätsspezifische‘ Analysen sind in vielfältigster Art vordefiniert und an die persönlichen Bedürfnisse selbst oder unter Anleitung adaptierbar.“
Dr. Ernst Michael Reicher | Rudersdorf, Österreich, Kieferorthopädie für Kinder und Erwachsene

„Das Programm nutzen wir wegen der tollen Zusammenarbeit: Bei Problemen ist die Hotline verfügbar. Bei Kontakt per Telefon oder E-Mail bekommen wir zeitnah eine Antwort. Deshalb fühlen wir uns gut betreut. Wir wissen, dass wir immer auf dem aktuellen Stand sind. Die Newsletter mit allen Änderungen erscheinen regelmäßig.“
Dr. Ralf-T. Bernhardt & Ute Bernhardt, Freudenstadt und Bad Peterstal-Griesbach, Zahnärztliche Gemeinschaftspraxis
Passt
sich an.
Nicht
umgekehrt.

